VESÍCULA EM PORCELANA – UMA CONSEQUÊNCIA RARA DAS COLECISTITES AGUDAS
O achado de uma “vesícula em porcelana” nos exames de imagem – sejam ultrassonografias ou tomografias – pode trazer muita angústia e preocupação aos pacientes. Mas qual o real significado dessa condição e como devemos conduzir? É o que você vai descobrir abaixo.
A função da vesícula biliar e a bile
A vesícula biliar é um órgão de armazenamento da bile – que é produzida no fígado – e auxilia na digestão das gorduras que consumimos na dieta.

Quando ingerimos alimentos ricos em carboidratos ou gorduras, há a liberação de um hormônio chamado colecistocinina, que estimula a contração da vesícula biliar. Então, como uma “bisnaga”, a vesícula despeja seu conteúdo nas vias biliares e posteriormente no duodeno. Só então que a bile age como um “detergente”, fracionando as gotas de gordura em porções menores para que enzimas do pâncreas possam digeri-las.
A bile, por sua vez, é composta por água, moléculas de colesterol, lecitina e os sais biliares (dentre eles a bilirrubina, que dá a coloração amarelada e o gosto amargo – de “fel” – quando vomitamos). Quando há um desequilíbrio nos componentes dessa mistura ou quando há uma disfunção no funcionamento da vesícula, pode haver a formação de pedras – os chamados cálculos biliares – que podem gerar dor, inflamação da vesícula e outras complicações.
Falamos sobre isso nesse post aqui.
Ok, mas o que isso tem a ver com a vesícula em porcelana?
Damos esse nome à vesícula que tem suas paredes calcificadas. Esse processo de calcificação ocorre após sucessivas crises de colecistite (inflamação da vesícula) não-tratadas. É raro, sendo relatado em 0,06 a 0,08% das pessoas. Mulheres são mais afetadas (numa proporção de até 5:1) e geralmente são vistas em pacientes mais idosas.
A preocupação que existe em relação à “Colecistopatia Calcárea” se deve ao fato de que em meados do século passado, alguns estudos relataram uma correlação de até 60% entre a vesícula em porcelana e o temido câncer de vesícula biliar. Daí, passou-se a ensinar cirurgiões no mundo todo que esse achado seria um mal sinal e um fator preocupante em relação aos tumores.
Felizmente, estudos mais recentes tem relatado que a real incidência de câncer de vesícula em pacientes com essas calcificações gira em torno de 6% – o que é bem menor do que se imaginava, apesar de não ser uma taxa desprezível. Esse risco parece ser maior quando a calcificação da parede não é total e ainda existe uma camada de mucosa. Quando a parede inteira é calcificada, inclusive com a substituição da mucosa, parece não haver risco de câncer.
Quais os sintomas da Colecistite Crônica Calcificada?
Em muitos casos, os pacientes não terão qualquer queixa, sendo assintomáticos. Lembre-se, porém, de que essa condição é resultado de vários processos de inflamação da vesícula ao longo da vida, logo é comum que os pacientes relatem que já tiveram dores e desconforto no quadrante superior do abdome que irradiam para as costas, náuseas ou mesmo vômitos após a ingesta de alguns tipos de alimentos.
No exame físico, pode ser possível palpar a vesícula endurecida, e isso requer atenção e investigação, visto que há outras condições – como cânceres de pâncreas e outros tumores periampulares – que podem gerar quadro semelhante.
Ultrassonografia de abdome, Tomografias e até mesmo radiografias podem denotar a presença de uma vesícula em porcelana.

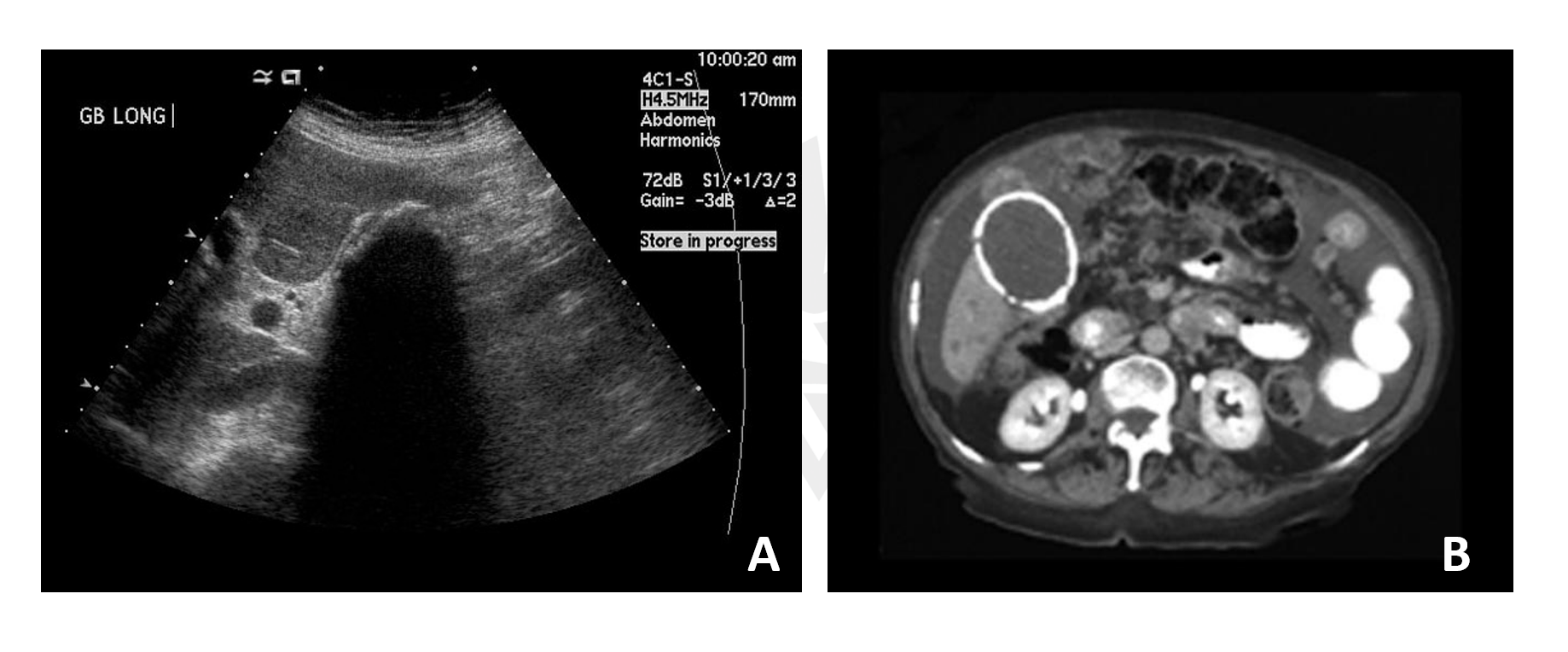
Fonte: radiopaedia.org Note que no Ultrassom (figura A), a calcificação da parede não permite a passagem do som, formando intensa sombra acústica – vista como um “vazio” no exame. Já na tomografia de abdome (figura B), podemos ver um halo esbranquiçado na topografia da vesícula, denotando a calcificação da parede.
Tratamento da Vesícula em Porcelana
Antes de tudo: calma! Sabemos que a possibilidade de um diagnóstico de câncer assusta e que o risco existe (até 6%, como falamos acima), mas o tratamento da colecistopatia calcárea é seguro e efetivo.
Mesmo pacientes assintomáticos devem ser avaliados por um cirurgião do aparelho digestivo capacitado para realizar a remoção da vesícula em porcelana – que geralmente é feita por laparoscopia. Depois disso, a vesícula será enviada para estudos histopatológicos para definirmos se havia ou não algum foco de tumor no material. Nos casos positivos para tumor, avaliações adicionais são necessárias para sabermos se algum tratamento complementar será necessário.
Para quem quiser ver como é uma colecistectomia em paciente com vesícula em porcelana, basta clicar no link abaixo:
Colecistectomia Laparoscópica – Vesícula em Porcelana
E aqui um exemplo da peça após a remoção cirúrgica:

Como é a vida após a cirurgia?
Nos primeiros dias após a cirurgia, pode haver um pouco de empachamento, constipação ou mesmo diarreia. No entanto, a médio-longo prazo, a vida é praticamente normal!
Como a vesícula apenas ARMAZENA a bile para secretá-la no duodeno, essa continuará sendo produzida pelo fígado. O que muda é que depois da cirurgia, passará a ser secretada continuamente no intestino delgado.
Em uma pequena parcela dos pacientes (menos de 9%), pode haver uma aceleração do trânsito intestinal pela presença contínua dos sais biliares em seu interior. Há ainda uma maior tendência a evacuações amolecidas quando o paciente ingerir grandes quantidades de gordura numa mesma refeição, por não haver bile suficiente, naquele momento, para dissolver todos os lipídios.
Se você ou alguém que conheça foi diagnosticado com vesícula em porcelana, procure atendimento. Ficou com alguma dúvida? Fale conosco.
Esse texto tem como objetivo principal informar pacientes. Caso tenha dúvidas ou sugestões, entre em contato através do email contato@fabioisrael.com .

